A maior Central de Usinagem do Brasil

Produza próteses odontológicas de alta qualidade sem aumentar seus custos fixos.

A UNICAD é pioneira na produção de próteses de alta qualidade com entrega ágil, garantindo que você atenda toda a demanda do seu consultório sem precisar investir em equipamentos ou aumentar a equipe, sem perder a identidade do seu trabalho.

Quero começar a vender

Desde 2014

+500 clientes
+ 1.000 Serviços por mês

A maior Central de Usinagem do Brasil

Resultados de alto padrão, com um custo mais baixo

Escala

Mais escala, menos investimento

Atendemos em todo o Brasil, com agilidade e suporte para demandas de qualquer porte, aumentando sua produção sem precisar comprar máquinas ou contratar equipe extra.

Estilo

Estética impecável com a sua assinatura

Entregamos peças precisas e de alto padrão, sempre preservando a personalidade do dentista ou técnico. O padrão final continua sendo o seu.
Qualidade

Materiais premium e entrega em tempo recorde

Utilizamos as melhores matérias primas e tecnologia de ponta, para entregar mais próteses em menos tempo e com altíssima qualidade.
Facilidade

Pagamento sem dor de cabeça

Pagamento apenas na retirada, para que você tenha controle total do seu fluxo de caixa.

TRABALHOS

Como podemos te ajudar

Somos especialistas em soluções digitais para próteses com a mais alta qualidade.

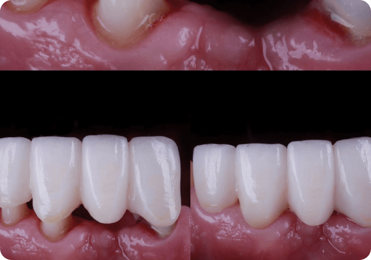
Coroas

Coroas e pontes fixas produzidas em zircônia multilayer 3D ou 4D, unindo resistência, naturalidade e alta estética.

Zircônia

Produção de estruturas em zircônia com máxima precisão: coping, munhão personalizado e protocolo cerâmico.

Placas de Mordida

Confeccionamos placas interoclusais fresadas em CAD/CAM, com ajuste anatômico perfeito.

PMMA

Confecção de coroas cimentadas ou parafusadas em PMMA multicamadas, com estética natural.

Modelos Impressos

Modelos digitais impressos em 3D com altíssima precisão, ideais para planejamento, conferência de adaptação e previsibilidade clínica.

Consultoria

Nossa equipe vai te ajudar a identificar as melhores soluções para cada caso, garantindo que seu laboratório cresça com eficiência, qualidade e identidade.

Compare e Economize

Entre em contato conosco

Quero começar a vender

5 Passos que garantem precisão e estética na entrega do seu projeto

Quero começar a vender

Retirada: A prótese é entregue pronta para acabamento, ajustes finais e personalização com a assinatura do dentista.

Escaneamento: Recebemos o escaneamento intraoral ou o modelo de gesso, garantindo fidelidade total dos detalhes anatômicos.

Planejamento Digital: Realizamos o planejamento da prótese em software de última geração, otimizando precisão e estética.

Aprovação do Desenho: Enviamos o modelo ao laboratório parceiro, para aprovação do desenho digital.

Fresagem do Desenho: Com o desenho aprovado, iniciamos a fresagem ou impressão 3D, unindo tecnologia avançada e materiais premium.

Quero começar a vender

SOBRE

Quem Somos?

Pioneira no setor de usinagem odontológica, a Unicad atua desde 2014 fornecendo  próteses de alta qualidade, com a tecnologia mais avançada do mercado.

A empresa nasceu para ajudar profissionais da área odontológica a crescerem de forma inteligente, acompanhando as constantes mudanças nos padrões estéticos, sem precisarem investir em equipamentos caros.

Hoje, somos a maior central de usinagem do país, com +500 clientes atendidos e +1.000 serviços prestados mensalmente, levando inovação para técnicos e dentistas de todos os portes.

Nosso compromisso é ajudar a escalar seu negócio odontológico, otimizando o seu tempo, reduzindo custos e entregando próteses impecáveis, sem abrir mão da identidade do seu trabalho.

A maior Central de Usinagem do Brasil

O que nossos clientes e parceiros estão dizendo sobre nós

Entre em contato

Escale sua produção odontológica agora mesmo!

Chega de perder pacientes para o concorrente por falta de tempo ou estrutura.

Na UNICAD, você tem tecnologia, suporte e independência para crescer de forma consistente.